
El Instituto Nacional de Propiedad Industrial (INAPI) concedió una nueva patente de invención para la Universidad del Desarrollo, por su tecnología «Método para procesar imágenes cerebrales», creada por los investigadores y doctores en ciencias del Centro de Investigación en Complejidad Social (CICS) de la Facultad de Gobierno, Francisco Zamorano M. y Pablo Billeke.
Se trata de una metodología de inteligencia artificial para realizar un análisis objetivo del metabolismo cerebral, que facilita la toma de decisiones respecto de las intervenciones quirúrgicas, cómo hacerlas más localizadas, menos invasivas y con mayor precisión, entre otros.
Para desarrollarla, utilizaron un algoritmo para duplicar digitalmente el hemisferio del cerebro de los pacientes que está en mejores condiciones, y crear en detalle una copia del cerebro completo en su versión sana. Así, a través de este método recientemente patentado, crearon una base de datos con mapas cerebrales de alta definición, para analizar con mayor precisión qué tan anormal es el funcionamiento de un determinado cerebro, comparando las anomalías con otros sanos de características similares.
“Es un gran trabajo de los dos investigadores, que de manera muy rigurosa y con investigación muy robusta, producen una aplicación práctica, en este caso una patente, para resolver un problema de diagnóstico en la población. Cumplen con todos los propósitos de nuestra visión y misión como facultad, que es contribuir a impactar en nuestra sociedad con soluciones a problemas cotidianos” comentó Eugenio Guzmán, decano de la Facultad de Gobierno. “Es un orgullo contar con profesionales del más alto nivel como Pablo y Francisco, quienes llevan mucho tiempo en la universidad y han podido establecer vínculos tanto con otras facultades como con el ambiente científico nacional e internacional”, finalizó.

Por su parte, Francisco Zamorano, investigador principal de la metodología, señaló: “Esta es una proyección a nivel mundial. Reduce costos, tiempos, procesos de caracterización, cirugía, tratamiento y minimiza las consecuencias de un procedimiento tan invasivo como el de la cirugía cerebral. La técnica viene a actualizar la radiología, entregando la posibilidad de mostrar muchos detalles que actualmente no son tomados en cuenta. Poner números a las imágenes es el futuro de la radiología, más aún con un abanico de datos estandarizado con potencial de compartirse entre diferentes países”.
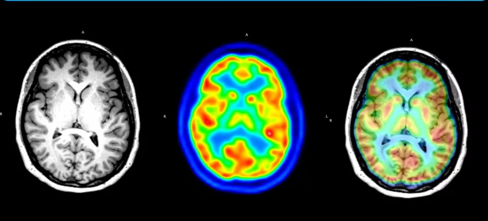
La invención, desarrollada en colaboración con la Unidad de Imágenes Cuantitativas Avanzadas (UNICA), y el equipo multidisciplinario del Centro Avanzado de Epilepsia de CAS, ambas pertenecientes a la Clínica Alemana de Santiago, adquiere especial relevancia en el campo de la epilepsia, un trastorno eléctrico del cerebro que afecta aproximadamente al 1% de la población chilena, pudiendo alcanzar hasta el 4% en otras regiones. La del tipo refractaria, es altamente invalidante y sólo puede ser tratada efectivamente mediante cirugía. Para estudiarla, se suele utilizar el examen PET, y la resonancia magnética.
Sin embargo, previo a la técnica propuesta por la UDD no existían métodos técnicamente rigurosos para localizar de forma precisa lesiones neurológicas y consolidar un diagnóstico clínico de alteraciones patológicas, como la epilepsia, la enfermedad de Parkinson y demencias.
La nueva invención patentada del CICS, combina el PET con la resonancia magnética, y es la que permite construir la base de datos de imágenes cerebrales, a través de la cual es posible determinar, en base a criterios estadísticos, la localización específica de la lesión.
“Desde iCono UDD estamos muy orgullosos de este gran paso y de todo el trabajo que hay detrás por parte de nuestro equipo, de los investigadores y de las instituciones que colaboraron en el proceso, para ampliar la implementación de la tecnología y fortalecer su potencial de transferencia, que ha contado con el apoyo de Hubtec Chile y el aporte del equipo técnico del estudio jurídico Silva y Cía.”, señala Rodrigo del Canto, director de Transferencia Tecnológica de la UDD. “Este nuevo logro es muy importante para fortalecer el actual portafolio de tecnologías de la universidad”, concluyó.

Este sistema se va autoperfeccionando automáticamente, a medida que más cerebros ingresen a la base de datos, más grande y robusta será y por ende, entregará resultados cada vez más precisos.
El próximo paso es internacionalizar la protección de la metodología -ya disponible para licencia- en Europa y Estados Unidos donde se avanzó a Fases Nacionales vía convenio PCT. En tanto, este nuevo otorgamiento marca un hito para la universidad al convertirse en la tercera patente de invención concedida a la UDD desde su fundación.